Call For An Appointment

Nashville Restorative Dentistry

Redefining Dentistry. Restoring Confidence.

Rediscover your confidence with natural and durable dental implants

At Nashville Restorative Dentistry, we offer titanium and zirconia implants that replace virtually any tooth without the drawbacks associated with other restorative choices like bridges and dentures.


Whether you need a single tooth replaced or all of them, dental implants can be used to create the best and longest-lasting restoration available — and most importantly, they’ll help you rediscover confidence in your smile!

Our Technology

Benefits of Dental Implants

  • Cone Beam CT Scan 3D Imagery – Used to see the amount of remaining bone, determine enough space is available for an implant, and rule out the presence of any problematic anatomy of the jaw bone. 
  • Successful and long-lasting – Success rate at or above 95%. Properly placed implants that are well cared for should last a lifetime.
  • No more loose dentures and partials – Implants can be used to support or anchor removable options like partials and dentures, which can significantly increase your comfort, chewing force, and ability to eat and talk.
  • CT Imagery – Allows us to plan the exact implant placement position that will be most successful for each individual case.
  • 3D Printed gurgical guide – Enables us to surgically place an implant exactly according to plan, making for a more predictable and less invasive procedure and a quicker healing time for the patient.
  • Save healthy neighboring teeth – Implants allow you to fill a missing space without grinding down the neighboring teeth to make a bridge.
  • Value – Despite a higher initial investment than alternative treatment options, dental implants provide the most value in the long-term.

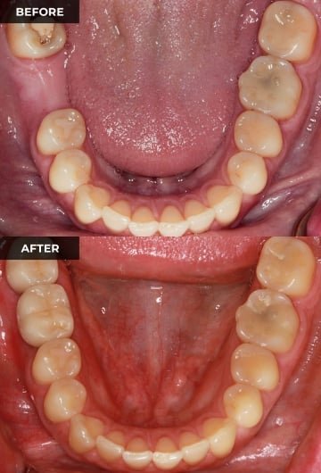
Before & After Case Photos

In every service we provide, we are committed to using the latest in dental technology, the most advanced techniques, and the best materials. We provide unparalleled care and tailor your treatment to your individual needs. Click the button below to see some of our favorite success stories of patients who love their new smiles!

Dental Implants with Nashville Restorative Dentistry

Can’t make it to our office? No problem!

We are now offering fast, easy and FREE virtual consultations.


Simply upload a photo, tell us your issue, and we’ll reply with a personalized video with our recommendations.

Meet The Doctors

Dr. Ryan M. Jones

Dr. Caleb Estes

DDS, FAGD

DMD, FAGD

Dr. Jones, a native of Tennessee, graduated from Brentwood High School and went on to earn his dental degree from the University of Tennessee, Memphis in 2010.

Dr. Caleb Estes was born and raised in Mt. Vernon, Illinois. He graduated from Southern Illinois University School of Dental Medicine.

What Everyone Is Saying

Emily Crabtree

I have been beyond pleased with Nashville Restorative Dentistry! It’s more than just a dentist experience there, the staff is incredible and I actually enjoy my visits! They are very conscious of how you feel during, before and after your appointment. I’ve had the pleasure of being a patient of Eric’s a few times now and he is genuinely in it for his patients. He has taken great care of me as well as Dr. Estes and Dr. Jones. Both doctors were very thorough with every procedure they have done. I had a lot to be done and I am happy with it all and confident it is was all done correctly and safely. Even the office staff is amazing!!! You will leave better than you came guaranteed! I am so thankful I have found Nashville Restorative Dentistry.

Keith Hall

This is an exceptional practice. My wife and I drove 3 hours for appointments because of a specialized service they offer. What we discovered was an above and beyond, friendly, and professional staff that went out of their way to make us comfortable and healthy. They have the equipment, staff and facilities for services both routine and specialized. The Covid-19 protocols were spot-on. Dr. Jones is professional, friendly and easy to talk to. I could do a whole review on Betsy alone, who couldn’t have been nicer or better at her job. In spite of the 3 hour drive, we will definitely be returning.

Gretchen Hoechner

Extremely impressed with their office! I had some really intense pain that was not improving on a daily basis and they did everything they could to get me in sooner. Cami and Kathleen both were incredibly helpful and supportive from day 1 - all of them feel like family! Betsy was so sweet and really helped me understand everything they were doing and why. I’m a firm believer in the whole body approach - and they fully support that as well. Dr Jones was understanding and thorough, and reassured me that they can assist with my issues. Highly recommend!

Alex Rivas Lessons

Every time we come we not only are greeted and loved on by an amazing caring staff but we are well taken care of with the cleanest and most professional team. Dr estes and Eric are beyond amazing at what they do and the perfect team. I highly recommend them if you are looking for a dentist who listens and is excellent at their work!

Schedule An Appointment